宫颈癌在全球女性癌症中排名第四,并且是导致女性癌症死亡的主要原因之一,其发病的罪魁祸首几乎全部是持续的人乳头瘤病毒(HPV)感染。

当前,治疗宫颈癌的标准方法包括手术、放疗、化疗以及靶向治疗。
然而,对于晚期宫颈癌患者而言,这些治疗手段的效果并不尽如人意。
当宫颈癌复发或发生转移时,临床上的治疗选择变得极为有限,且治疗反应率极低,仅在4%至14%之间。因此,寻找更为有效的治疗方案显得尤为迫切。
01TIL疗法在多种实体肿瘤的治疗中已展现出令人瞩目的效果
令人振奋的是,中国科学家在肿瘤治疗领域取得了重大突破,成功研发出一种新型TIL疗法。该疗法在多种实体肿瘤的治疗中已展现出显著效果,多名宫颈癌患者在接受这种新型TIL疗法后,病情达到了完全缓解的状态,这无疑为国内宫颈癌患者带来了新的希望和生机,引起了广泛的关注。
02客观缓解率(ORR)达到了36%,疾病控制率(DCR)高达71%

上海一家著名医疗中心引领了一项临床试验,该试验聚焦于晚期妇科癌症患者,改良后的肿瘤浸润淋巴细胞(TIL)疗法作为核心,其研究成果已在国际权威医学期刊《BMC》上发表。
这项研究纳入了16名患有不同种类晚期妇科癌症(涵盖卵巢癌、宫颈癌、子宫内膜癌及腹膜癌)的患者参与,这些患者均经历了至少3至4种全身性治疗(涵盖化疗、靶向治疗、PD-1或CTLA4抗体疗法)的失败,且普遍携带有3至4个病灶,其中多数为体积较大的难治性肿瘤。
值得庆幸的是,科研人员成功地从所有参与患者(比例高达100%)体内扩增出了TIL,随后,这16名患者接受了剂量在100亿至300亿之间的、能精确识别并攻击肿瘤细胞的TIL细胞治疗。
试验结果揭晓:在14名可评估疗效的患者群体中,根据研究者的评估,客观缓解率(ORR)达到了36%,疾病控制率(DCR)则高达71%。有3名患者(占比21%)实现了靶病灶肿瘤的完全消失,即达到了完全缓解(CR)的状态,其中2名患者的这一良好状态已持续超过1年之久,这无疑为晚期妇科癌症的治疗开辟了新的希望之路。
03案例分享
案例1:
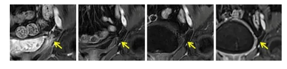
一位晚期宫颈癌患者的膀胱内出现了巨大的肿瘤转移灶,但在接受了TIL(肿瘤浸润淋巴细胞)治疗后,仅过了6个月,这些肿瘤竟然全部消失了,实现了完全缓解的状态,并且这种良好的状态持续了整整19个月!

案例2:
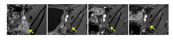
另一位晚期子宫内膜癌患者的肿瘤在直肠前壁不断恶化并发生转移,但在采用了TIL治疗后,仅仅10个月的时间,肿瘤就完全消失了,她也因此达到了完全缓解的状态,且这种状态保持了15个月之久。

案例3:
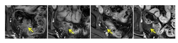
还有一位晚期宫颈癌患者,她的肿瘤已经转移到了膀胱。在接受了TIL治疗后,经过12个月的努力,她的肿瘤体积显著缩小了78%,这是一个令人鼓舞的治疗成果。

案例4:
一位处于Ⅲc期的宫颈癌患者在接受了根治性子宫切除术和盆腔淋巴结切除术后,又完成了4个周期的化疗。然而,在17个月后,她的癌症复发了,并且转移到了膀胱。但幸运的是,她在接受了TIL输注后仅10周,就再次达到了完全缓解的状态。

TIL疗法作为一种前沿的肿瘤免疫治疗技术,在多种实体瘤中均取得了显著疗效,具有广阔的应用前景和发展潜力。随着技术的不断进步和临床试验的深入,相信TIL疗法将为更多肿瘤患者带来福音。
